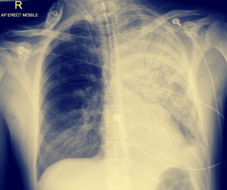
POCUS för COVID-19

I händerna på någon som är van att undersöka lungor så är Ultraljud ett väldigt bra verktyg för riskstratifiering och differentialdiagnostik . Ser man en typisk bild för COVID-19 så behöver många åtminstone syrgas och inläggning. Ju mer utbredda och uttalade förändringar ju värre prognos. I korthet så ser det ut som en vanlig interstitiell pneumoni med interstitiellt syndrom men det är nästan alltid bilateralt och det finns en stor mängd subpleurala konsolideringar, speciellt senare i förloppet, oftast <1 cm djup men kan vara större.  Läs mer i denna artikel.

Varför POCUS?

Fördelen med POCUS, jämfört med DT, är att det är lättillgängligt, är fritt från strålning, går att upprepa och är billigt. I de fall där ultraljudsbilden inte är tydlig kan man gå vidare med DT.

När POCUS?

Förslag på flödesschema från IBCCDenna bild har ett alt-attribut som är tomt. Dess filnamn är imagcovid.jpg
 
Skärmavbild 2020-04-05 kl. 14.40.58.png
Undersökningsprotokoll från Linköping
 

Hur utföra POCUS lunga?

Tekniken är densamma som när man letar efter vilken pneumoni som helst vilket innebär att man systematiskt måste gå igenom hela lungorna. Annars kan missa de karakteristiska fynden vid COVID-19 som ofta inte är sammanhängande utan ligger med lite mellanrum. Det kan behövas en linjär probe för att kunna urskilja förändringar i pleuran men oftast verkar det räcka med en kurverad probe som du dessutom behöver för att säkert se B-linjer.

 

Om du bara ska titta på en video spå välj denna. (Klicka så öppnas den i nytt fönster)

 

Mer djupgående video

Grundlig Videoföreläsning från Linköping

Tidiga fynd
  • Förtjockad och ojämn pleura
  • Fokala B-linjer. Ofta med skip-lessions.
  • Subpleurala konsolideringar
Senare fynd
  • Konsoliderad (hepatiserad) lunga
Andra karakteristiska 
  • Mycket ovanligt med pleuravätska.
  •  ”Skip lesions” Fokala B-linjer med mellanliggande väsentligen normal pleura verkar vara typiskt för COVID-19

Tabell med ultraljudsfynd vid COVID-19 i relation till fynd på DT.

Här finns väldigt bra videoexempel från butterfly.

Hur bra är POCUS vid COVID-19?

Sensitiviteten är inte riktigt klarlagd men baserat på den här artikeln har man på IBCC uppskattat sensitiviteten till ca 75% om undersökaren är noggrann. Ju svårare sjukdom ju högre sensitivitet. Fetma försvårar såklart. Specificiteten är väldigt låg så det är viktigt att korrelera fynden till anamnes och övrig klinik.

 

Basalt lungultraljud

Om du vill lära dig mer om basalt lungultraljud så kolla på videon nedanför och läs den här systematiska och pedagogiska artikeln. Vill du lära dig mer om POCUS för pneumoni så kolla denna video från 5minsono.

 

 

Översikt om covidultraljud från thepocusatlas. 

 
 

COVID-19 – Coronavirus

Nu har jag inte skrivit på länge men här tänkte jag lägga upp allt bra material jag hittar om COVID-19. Det kommer inte bli superstrukturerat och inte så vetenskapligt eftersom det inte finns så mycket studier än. Jag kommer uppdatera inlägget så ofta jag hinner. Mycket är taget från Internet Book of Critical Care och det kapitlet uppdateras dagligen så följ gärna det.

Hjälp mig gärna om ni upptäcker felaktigheter eller har nyare information eller bara vill diskutera något. Kommentera då gärna på själva inlägget så att andra också kan se eller skriv till mig på facebook eller maila jonas.willmer@gmail.com

Ta hand om er!

 

Symptom

Som en vanlig influensa initialt.

  • Hosta (torr eller purulent)
  • Feber
  • Huvudvärk
  • Ont och torr i halsen
  • Andnöd
  • Illamående, kräkningar och diarré är mycket mer ovanligt

Efter några dagar förvärras, hos vissa, symptomen och patienten kan få

  • Multiorgansvikt
  • DIC-liknande bild

1

Diagnos

  • PCR från luftvägarna för COVID-19 verkar ha hög specificitet men lite oklar sensitivitet (ca 75%). Ju mindre uttalade symptom ju större risk för falskt negativa prov. NPH sämre sensitivitet än prov tagna längre ned i luftvägarna (trachealaspirat eller BAL). Det verkar inte finnas bra data på hur sensitivt PCR är om man är smittad men helt asymptomatisk.
  • DT verkar visa typisk bild för COVID-19 före PCR hos patienter som initialt haft negativa PCR-prov men som några dagar senare varit positiva. Det finns inga tydliga kriterier för vad som ska tolkas som en positiv DT-thorax men sensitiviteten verkar ligga runt 97% och specificiteten runt 86%.  Troligen mycket lägre sensitivitet om ej tydliga lungsymptom.

1

Lab

  • CRP ofta stegrat och höga värden (ca <60-160) är dåligt prognostiskt. Finns dock patienter med låga värden som ändå är så pass dåliga att de behöver läggas in eller till och med intuberas.
  • LPK ofta normalt eller sänkt. Lymfocyter ofta låga.
  • TPK ofta lätt sänkt. <100 är ett dåligt prognostiskt tecken.
  • D-dimer ofta förhöjt.

1

4

Bilddiagnostik

Ultraljud 

Se separat inlägg

Lungröntgen och DT 

  • Fläckvisa förtätningar med groundglass-utseende.
  • Oftast basalt och perifiert och i princip alltid bilateralt.
  • Pleuravätska är ovanligt (<5%)

Mer om DT

Läs mer på radiopaedia

1

1

Behandling

se internet book of critical care eller uptodate

Sammanfattning om olika aktuella läkemedel från SWESEMs COVID-19 sida

NIV och optiflow (High flow nasal cannula

Kontroversiellt om och isf i vilken utsträckning NIV och optiflow ger upphov till aerosolbildning. WHO är tveksamma till att HFNC ger aerosoler men rekommenderar att man för säkerhetsskull sätter på en kirurgmask över patientens HFNC. Ett företag som tillverkar HFNC har gjort tester och visat att aerosolspridningen minskar avsevärt om man gör så.

Optiflow rekommenderas i första hand över BiPAP pga bättre överlevnad i tidigare studier av ARDS-patienter och hittills verkar det som att covidpatienter som får BiPAP i väldigt stor ändå utsträckning måste intuberas så nyttan verkar väldigt låg. Skulle kunna vara ett alternativ hos covidpatienter med KOL som retinerar. Optiflow minskar i praktiken patientens deadspace och ger därför även bättre utvädring av CO2. CPAP verkar mer lovande och ger ju inte större tidalvolumer och alltså inget volutrauma (som man såklart ska undvika vid ARDS) och håller dessutom alveolerna öppna. Höga tryck på 15-18 cm rekommenderas.

Läs mer: https://rebelem.com/covid-19-airway-management/

Hur stor är risken för sekundär bakteriell infektion?

Av 2000 avlidna italienska patienter drabbades 10% av en sekundär bakteriell infektion.  

Luftvägshantering

https://emcrit.org/emcrit/covid-airway-management/

https://openairway.org/covid-19-airway-management-resource/

https://emergencymedicinecases.com/covid-19-protected-intubation/

https://www.emrap.org/episode/emraplivecovid1/emraplivecovid luftvägar från min 30

 

Intensivvård

https://www.stemlynsblog.org/covid-19-a-primer-on-icu-care-for-the-non-intensivist-st-emlyns/

Logistik och organisation

Det här är bland det bästa jag läst den här veckan. Så mycket vi kan lära!

Palliativ vård

PowerPoint om palliativ vård vid COVID-19 med tillhörande video.

Pediatrik

AN EVIDENCE SUMMARY OF PAEDIATRIC COVID-19 LITERATURE

 

Primärvård

Klicka för att komma åt razm055290.ww1.pdf

 

BMJ: Vad kan primärvården göra? 

BMJ: Videokonsultationer för COVID-19

 

Så jobbar vi smartare under COVID-19

Podcast full med praktiska och pragmatiska tips från ER Cast.

Fler resurser

https://covid.emrap.org/ Uppdaterad flera gånger dagligen av ett antal experter och videos ett par gånger i veckan med uppdateringar mm.  Missa inte!

Falldiskussion och mängder med kliniska tips på The clinical problem solvers på spotify.

Självtest när du bör söka sjukvård.

Pedagogisk föreläsningsserie om COVID-19

#COVID19foam på Twitter

Uptodate

Olika flödesscheman och checklistor https://www.propofology.com/covid19.html

Tips för att minska spridning vid behandling med NIV och syrgas på twitter

Sammanställning av komplikationer i BMJ
Mer om luftvägshantering vid COVID-19 på emcrit

ACEP

WHO

Referenser som inte länkas direkt i texten

1 https://emcrit.org/ibcc/COVID19/

2 https://thinkingcriticalcare.com/?fbclid=IwAR1hltrEIT0LUNXEVWH85yGhr_Zp1fiwSoBgtVYU58IBhjTESC1gxfzRmeg

3 https://sonostuff.com/2020/03/13/pocus-for-covid19-what-to-look-for-when-risk-statifying-patients-with-suspected-or-confirmed-illness-lung-pulmonary-foamed-foamus/

4 https://www.ifcc.org/

https://jamanetwork.com/journals/jama/fullarticle/2762996?utm_source=twitter&utm_campaign=content-shareicons&utm_content=article_engagement&utm_medium=social&utm_term=031120#.XmlfS6Yd6Tx.twitter

 

Best of FOAM SWEETs19 – del 3 – Mer Bougie

På SWEETs19 höll jag och Jens Wretborn, ST-läkare i akutsjukvård i Linköping, en inspirationsföreläsning om FOAM (Free Open Access Meducation). Här kommer en kort sammanfattning av min tredje  del om bougieknep med länkar till det jag refererade till.  Del 1 hittar du här och del 2 här!

Du hittar alla sammanfattningar från vår föreläsning på akutläkarnas nystartade kunskapsportal Akutresurs.se. Om du är medlem i SWESEM så till att registrera dig som medlem där så du kan delta i diskussionerna.

Koniotomi är en av de extremt sällsynta procedurerna vi måste kunna när det väl behövs så för att klara av det när ögonblicket är där så måste vi vara väl förberedda och ha en tydlig plan. Därför är det viktigt att göra ingreppet så fool proof och enkelt som möjligt. Den metod jag och många mycket mer erfarna kollegor förordar är scalpel-finger-bougie-tube.

Skärmavbild 2019-04-24 kl. 12.30.47

Scott Winegard visar hur det går till. Kolla hans utförliga sida för tydliga instruktioner och fler utmärkta videos.

Swesem rekommenderar en variant av den här metoden men tycker att man bör föra ner bougien utmed skalpellen istället för att föra ned fingret. Den metoden har fördelen att du inte riskerar att skära dig (adrenalinpåslaget kommer vara enormt och det är lätt att vara för ivrig) men nackdelen tycker jag är att man riskerar att hamna fel. Eftersom det ofta blöder väldigt mycket vid en koniotomi så är ingreppet minst lika taktilt som det är visuellt. Har du inte känt broskringarna i trachea med fingret är du inte säker på var du är. Det finns såklart undantag och på en smal patient med tydlig anatomi går det säkert bra vilket som men på en stor patient med svårpalpabel anatomi vill iaf jag känna efter med fingret för att vara säker på var jag är.

Skärmavbild 2019-04-24 kl. 12.31.41

Bougien är även användbar när du ska sätta ett thoraxdrän på en överviktig patient där det är lätt att tappa den väg du skapat genom all subcutanvävnad med peang och finger. Tricket är att alltid ha något som håller vägen öppen och då är en bougie perfekt!

Principen är den samma som för koniotomi men du lägger till peangen så det blir scalpel-peang-finger-bougie-tube. Här kan ni läsa mer om metoden!

Uppdatering 2020-01-09: Emcrit – Bougie lessons

Best of FOAM SWEETs19 – Del 1 – Kommunikation

På SWEETs19 höll jag och Jens Wretborn, ST-läkare i akutsjukvård i Linköping, en inspirationsföreläsning om FOAM (Free Open Access Meducation). Här kommer en kort sammanfattning av min första del om kommunikation med länkar till det jag refererade till. Totalt kommer jag lägga upp tre inlägg från föreläsningen och Jens kommer lägga upp inlägg om sina delar på akuten.li. Vi kommer även lägga upp alla länkar på akutläkarnas kunskapsportal akutresurs.se.

Skärmavbild 2019-03-16 kl. 20.48.53

FOAM är inte bara hårda kliniska ämnen utan det finns även en hel del mjukare ämnen. Ett av de viktigaste är kommunikaton. Två av mina absoluta favoritavsnitt av EM cases handlar om just kommunikation. Genom åren har  jag lyssnat på de här avsnitten minst 4-5 gånger och jag lär mig nya saker varje gång. I poddavsnitten diskuterar 3 erfarna akutläkare och en erfaren akutsjuksköterska hur vi kan vässa våra kommunikationsfärdigheter och ger mängder med handfasta tips. Det är bara att suga i sig av deras sammanlagda nästan 100-åriga erfarenhet av patientkommunikation. 

Skärmavbild 2019-03-16 kl. 21.03.28

Del 1 handlar om effektiv patientkommunikation, patientcentrerad vård och patientnöjdhet. 

Skärmavbild 2019-03-16 kl. 21.02.21

Del 2 handlar om hur vi bäst bemöter den svåra patienten. 

Skärmavbild 2019-03-16 kl. 20.29.07

När det handlar om upprörda patienter, eller anhöriga, så finns det ett väldigt effektivt verktyg som jag har haft stor nytta av. The universal upset patient protocol innehåller 6 enkla steg som jag själv använder mig av varje gång jag stöter på en upprörd patient eller anhörig. Det funkar även bra på upprörda kollegor.. Stegen har jag översatt själv men vill ni ha originalet och lära er mer hur ni bäst använder verktyget så kolla in The Happy MD.  Rob Orman på ER-Cast har gjort en riktigt bra intervju med Dike Drummond, som driver, The Happy MD, som jag varmt rekommenderar. 

Skärmavbild 2019-03-16 kl. 21.21.43

Nästa vecka kommer del 2 som handlar om luftvägar, missa inte det!

Khayelitsha district hospital – del 1

Soluppgång från taket på Khayelitsha district hospital.

Jag är just nu tillbaka i Kapstaden och jobbar på akuten på Khayelitsha district hospital (KDH) som ligger i en fattig förort med mycket våld och extremt hög HIV- och TB-prevalens. På KDH finns det tre akutläkare som jobbar dagtid och turas om att vara jour i hemmet resten av dygnet. Akuten sköts av fyra olika team som jobbar i treskift ca 60-65 timmar i veckan. Varje team leds av en medical officer (MO) som gjort AT och ett års obligatorisk community service. I Sydafrika specialiserar sig inte alla utan många fortsätter som MOs hela karriären men riktar oftast in sig på ett visst område och får där mer och mer ansvar. Det finns t.ex. erfarna MOs som jobbar självständigt som kirurger men som alltså aldrig genomgått en ST. Det verkar vara vanligare på mindre sjukhus och på de större verkar de flesta behöva specialisera sig för att avancera i karriären. Khayelitshas MOs är enormt duktiga kliniker. Under jourtid sköter de självständigt resusciteringar av svårt skadade traumapatienter såväl som multisjuka patienter i djup chock men kan vid behov konsultera en akutläkarspecialist som dock extremt sällan behöver komma in. Kommunikationen sker via telefon och röntgenbilder, ultraljudsfilmer, EKG m.m. skickas vid behov via whatsapp (som faktiskt är säkrare än sms). MOs intuberar, sätter CVKer och artärnålar, sköter ventilator, sedering och inotropi, utför thorakotomier (vilket dock görs sällan och bara om det finns en tydlig indikation), tar hand om svårt sjuka spädbarn, tolkar alla röntgenbilder, gör ultraljud och allt annat som behöver göras akut. På KDH finns ingen IVA och ofta kan det dröja länge innan man får till en transport till det stora sjukhuset Tygerberg inne i Kapstaden, så därför blir ofta akutrummet som en mini-IVA med intuberade patienter med slangar överallt och ett antal olika pumpar med diverse läkemedel. Som svensk akutläkare behöver man verkligen vässa vissa färdigheter  (intubering, CVK, thoraxdrän mm) innan man åker hit men har man gjort det så kan man få ut ännu mer av tiden här.

Anledningen till att läkarna här är så otroligt duktiga tror jag är för att man ställer högre krav på läkarstudenter och AT-läkare i Sydafrika och de får ofta också bättre klinisk handledning och väldigt rak och tydlig feedback. Anledningen till de högre kraven är läkarbristen som råder och därför får både studenter och AT-läkare mycket större ansvar än i Sverige. De behövs verkligen och är sällan utöver. Under AT ska man ha gjort minst 10 appendektomier  och minst 10-20 kejsarsnitt.. självständigt! Efter AT kan ju läkaren, under sin community service, hamna någonstans där det inte finns någon annan att tillgå. En annan anledning till att de Sydafrikanska läkarna är så duktiga kliniker tror jag också är deras tuffa skriftliga och praktiska prov, under utbildningen, AT och ST, som de pluggar väldigt hårt inför. Vad jag kan förstå så har vi Svenskar det förhållandevis lätt i jämförelse.

Akutrummet på KDH under en ganska lugn vardagsnatt.

En av de bästa sakerna med att jobba på KDH är gemenskapen och teamkänslan. Att ingå i ett team som jobbar ihop varje pass gör en enorm skillnad för vi-känslan och man blir snabbt som en väloljad maskin där alla gör det de ska och hjälper varandra när det behövs. Teamet tar alltid gemensam fika minst en gång per pass, vilket teamleadern annonserar via den gemensamma whatsappgruppen. Att sitta ned tillsammans i fikarummet är tyvärr något vi som jobbar på akuten gör allt för sällan i Sverige. Det gör stor skillnad för hur arbetspasset har känts och genom att lära känna sina kollegor bättre så litar man mer på varandra och fungerar bättre som ett team i stressiga situationer.

Min kollega Rasmus i fikarummet. Det finns micro, bord och stolar också men jag ville få med T-shirten på väggen på bilden..

På KDH kommer det ofta mellan 5-15 patienter med penetrerande våld mot thorax/buk per kväll under helger eller helgdagar. Löningshelger är värst då det, precis som hemma, sups ännu mer och våldet tilltar under kvällen och natten. När jag var här i våras så såg jag en hel del traumapatienter men hittills har det inte varit så mycket riktigt akuta traumapatienter den här gången. Det förklaras såklart av att jag nu bara går dagtid eftersom jag och min fru vill kunna åka till och från jobbet tillsammans då hon gör en placering på Tygerberg och bara jobbar dagtid.

Traumalugnet bröts dock här om dagen, mer om det kommer i nästa del om Khayelitsha district hospital.

Den krisande patienten med Sicklecellanemi

För ett tag sedan stötte jag för första gången på en sicklecellpatient i kris och fick fräscha upp mina kunskaper. Patofysiologin och de olika typerna av kriser en sicklecellpatient kan presentera med gör sjukdomen väldigt intressant men också utmanande.

En vanlig vasoocklusiv kris behandlas bäst med aggressiv smärtlindring med (ofta höga) doser morfin. Titrera upp snabbt om dålig effekt. Dessa patienter är ofta vana med kraftig smärta och behöver inte se så påverkade ut även om de har väldigt ont så se till att utvärdera din behandling noga. Om patienten har normala vitalparameterar och känner igen sin smärta behöver man inte alltid ta prover.

De övriga kriserna får du veta mer om i denna utmärkta video. som är en sammanfattning av EM cases avsnitt om Sicklecellanemi

Stark berättelse om en sicklecellpatient som verkligen berör. Såg den live på SMACC men tårarna kom ändå när jag lyssnade om. Huvudbudskapet är att dessa patienter lever korta liv med nästan ständig smärta och vi ska ge dem samma omtanke som våra terminala cancerpatienter.

Har du EMRAP så är detta avsnitt från april 2018 helt fantastiskt. Fokus på pediatriska patienter men många lärdomar även om vuxna sicklecellpatienter.

För er som gillar att läsa på svenska så har läkartidningen gjort en matnyttig genomgång. 

Bildresultat för sickle cell anemia patient
Smärtorna sitter inte bara i bröstet som många tror. Om kraftig bröstsmärta, hosta och feber tänk på acute chest syndrome.

Årets bästa FOAM – 2017

Vi har redan hunnit en bit in på 2018 men känner du att du vill ha koll på det viktigaste som hände inom akutsjukvård 2017 så ska du inte missa denna genomgång av fjolårets bästa FOAM!

_3177163_orig

ALiEM listar sina 10 bästa kliniska bloggposts och 12 ”must know” farmakologiartiklar från året som gått.

Skärmavbild 2018-02-01 kl. 21.53.28.png

Gänget bakom St.Emlyn’s listar årets bästa blogposts, föreläsningar, podcasts, videos, böcker mm. Omfattande och väldigt hög kvalitet!

 

 

preview

 

emDocs listar sina bästa bloggposts från 2017. Allt från uppdatering om hyperkalemibehandling till pearls & pitfalls vid resuscitering av neurotrauma.

 

 

EM Cases har de senaste åren breddat sitt utbud och listar här det bästa från årets podcasts, journal jam, best case ever, rapid review videos och critical care cases. Allt är otroligt pedagogiskt och av grym kvalitet!

 

 

Critical care reviews gör varje år en bok där de går igenom årets största och viktigaste studier och sammanfattar, sätter de i sitt sammanhang och ger kritik. Otroligt ambitiöst och en riktig guldgruva för den som är intresserad av critical care.

 

 

Sutureringshacks – SWEETs18

På svenska akutläkarkonferensen SWEETs föreläste jag om sutureringshacks och här kommer en kort sammanfattning av föreläsningen med referenser. Flera av teknikerna är hämtade från den utmärkta sidan lacerationrepair.com

Skärmavbild 2018-03-09 kl. 10.34.20.png

Tvätta med kranvatten

Om du kan dricka vattnet så kan du tvätta sår med det! Sluta använd NaCl i onödan! Om såret går att spola under kranen så funkar det bäst annars kan du fylla en rondskål med kranvatten och dra upp i lagom stor spruta.

Referenser:

Sluta använda sterila handskar för vanliga sår

Akuten är inte en steril plats. Om du använder sterila handskar eller ej påverkar inte risken för infektion när du syr ett okomplicerat sår.

Referenser:

Sy med hår

Hair apposition technique är perfekt att använda på sår i skalpen på upp till ca 5 cm men det finns evidens för användning upp till 10 cm. Jag använder alltid den här tekniken på barn eftersom det besparar barnet nålsticken jag bedövar och de slipper dessutom åka till vårdcentralen för att ta bort suturerna. Studier har även visat färre komplikationer och kortare procedurtid. Använd en typ av lim som går att droppa, inte de som stryks på.

Referenser:

 

Förstärk sårkanter med tejp

Sårskador hos patienter med skör hud (äldre, kortisobehandlade mm) är en riktig utmaning. Risken är stor att tråden skär genom huden när vi drar åt suturen. För att undvika detta kan vi förstärka sårkanterna med kirurgisktejp (typ bred steristrip) och sy genom tejpen. Det går antingen att sätta tejpen parallellt med såret och dra ihop sårkanterna med suturen eller tejpa ihop såret och sedan fästa varje tejpbit med en enkel sutur.

Skärmavbild 2018-03-08 kl. 11.24.58.png

Referenser:

 

 

Kortison vid pneumoni

151517768124011816.jpeg

Lunginflammation kan ge överaktivering av immunförsvaret och en ökad mängd inflammatoriska cytokiner vilket i lungorna resulterar i vätskeansamling och försämrad syresättning av blodet.  Jag har själv aldrig gett kortisonbehandling vid pneumoni förutom till KOL-patienter och astmatiker men nu kommer jag börja överväga det även hos andra patienter med pneumoni, som jag lägger in, om de saknar kontraindikationer. 

 

Det har genom åren gjorts flera mindre studier och flera metaanalyser men få riktigt stora randomiserade studier som undersöker värdet av en kortisonkur vid samhällsförvärvad pneumoni. De studier som gjorts visar att en kortisonkur:

Fallgropar

Dessa studier gäller enbart sjukhusvårdade patienter och alltså inte polikliniskt behandlade patienter. Nyttan är tydligast vid allvarlig pneumoni och mer oklar vid lindrigare former. Ökad risk för hyperglykemi.

Kontraindikationer

Diabetes, alla former av immunosupression, vaskulit och magsår.

Dos? 

Prednisolon 40-50 mg i 5-7 dagar verkar vara den vanligaste dosen.

__________________________________________________________________

THE BOTTOM LINE

Överväg att ge en kort kortisonkur till patienter med allvarlig samhällsförvärvad pneumoni men kom ihåg kontraindikationerna.

 

Referenser utöver de som länkats ovan

http://www.emdocs.net/corticosteroids-pneumonia-ready-primetime/

Intro i akutsjukvård för nya ST-läkare 

Du har bestämt dig. Du ska bli akutläkare. Grattis! Du har valt världens roligaste och kanske mest utmanande yrke. Du kommer lära dig otroligt mycket de närmaste åren och det kommer kännas som en oändlig ström av ny kunskap och du kommer tvivla på att du någonsin ska bli färdig. Du har helt rätt, du kommer aldrig att bli färdig, men det är tjusningen med vårt yrke. Du kommer ständigt att utvecklas och lära dig mer, och du kommer fortsätta utmanas under hela karriären. Som stöd kommer du ha fantastiska kollegor att tackla utmaningarna tillsammans med och du kommer snabbt växa in i akutfamiljen. Någon gång på vägen kommer du börja känna dig ganska kompetent och du kommer till och med att veta exakt vad du ska göra i de flesta lägen, och ha en trygg grund att utgå ifrån i alla övriga lägen. Välkommen!

Så var ska du då börja? Det här inlägget på academic life in emergency medicine ger dig en rivstart på utbildningen.

Att vara akutläkare är att leva med osäkerhet. För att klara av att jobba som akutläkare i många år måste du lära dig acceptera det. Vi vet inte vilka som kommer bli hjälpta av de behandlingar vi ger, vi vet inte vilka vi skickar hem som kommer komma tillbaka och vara mycket sjukare, eller inte komma tillbaka alls. Det enda vi vet är att vi alltid kommer göra vårt allra bästa och att vi måste fortsätta utvecklas genom hela livet. För att göra det behöver vi lära oss att grunda våra beslut på evidens och förstå varför vi gör som vi gör. Ibland gör vi saker som är skadliga för patienter utan att veta om det men när nya studier kommer som visar på brister i vår vård så måste vi nyktert titta på den nya evidensen och vara beredda att ändra oss.

När du känner att jobbet bara består av ändlösa jourer så läs det här brevet adresserat till just dig.

Om du vill få en bra introduktion till de vanligaste sökorsakerna på akuten så har st.Emlyn’s en serie blogginlägg och poddavsnitt för nyblivna ST-läkare som du hittar här.

För att lära dig allt du behöver kunna så krävs passion och målmedvetenhet. Scott Weingart has your back!

 

Vad ska du då göra på den där första nattjouren när du står där med en kraschande patient? Reuben Strayer ger dig receptet på en lyckad resuscitering

Reuben Strayer har även en hel introduktionsföreläsning för nya ST-läkare i akutsjukvård som är riktigt bra.

John Hinds var en intensivvårdsläkare från Nordirland som också jobbade prehospitalt. Han var en fantastisk föreläsare och stor förebild för många inom FOAM-världen. Under en föreläsning på SMACC Chicago så sa han något som alla läkare alltid borde bära med sig; ”Make your intentions honourable”. Om du alltid handlar för patientens bästa så kan du inte hamna snett.

Jag tänkte avsluta med min absoluta favorit, Cliff Reid som alltid är en njutning att lyssna på och som jag skulle kunna lyssna på i timtal utan att tröttna. Hoppas du kommer bli lika inspirerad som jag!